본문 바로가기 대메뉴 바로가기

충북대학교병원 감마나이프센터

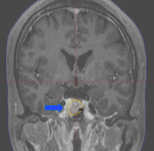
뇌하수체종양

뇌하수체종양

뇌의 조직 중에 호르몬 분비를 담당하는 뇌하수체에 발생하는 종양을 말합니다.

종양의 크기와 시신경 압박여부를 판단하여 외과적 수술 또는 감마나이프수술을 시행합니다. 감마나이프수술은 호르몬 분비의 기능성 여부, 시신경의 영향 등을 종합적으로 확인하여 방사선의 양을 결정합니다.

뇌하수체종양 방사선 수술 전 이미지
방사선 수술 전
뇌하수체종양 수술 후 1년 후 (분할치료) 이미지
수술 후 1년 후 (분할치료)